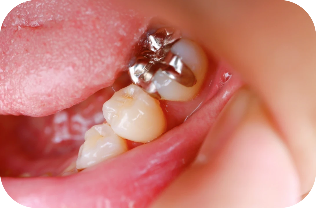
機能向上で見た目もよくなる?
入れ歯の利点は、その人の気分で装着ができることです。インプラントは嫌になっても気軽に外せません。もちろん、インプラントはインプラントの利点があり、自分の歯と同じような感覚で物が噛むことができます。
銀歯が気になる方におすすめなのが審美歯科治療。セラミックをはじめとする素材を用いて、まるで本物の歯のような仕上がりを目指します。審美歯科にご興味のある方は、お気軽に当院までご相談ください。
口腔内の粘膜と接触し、なおかつ常に唾液にさらされる歯科金属は、実は金属アレルギーを引き起こしやすい存在。当院では、歯科金属によるアレルギーを防ぐために、様々な工夫をしています。
金銀パラジウム合金
一般的に「銀歯」と呼ばれる保険の素材です。
メリット
金属なので強度が強く、強い力のかかる部位にでも使用できる
保険が適用するので値段が安価
デメリット
金属なので見た目が良くない
金属アレルギーなどを引き起こす可能性が高い
見た目
★★☆☆☆
耐久性
★☆☆☆☆
コンポジットレジン
歯科用プラスチックで作られた素材です。
メリット
色が歯に似ているので見た目が良い
修理が比較的簡単
保険が適用するので費用が安価
デメリット
時間が経つと変色し、見た目が悪くなることがある
あまり強度がなく割れやすい
見た目
★★☆☆☆
耐久性
★☆☆☆☆
硬質レジン前装管
中身は金属で外から見える部分にのみレジン(歯科用プラスチック)を貼りつけた素材です。
メリット
色が歯に似ているので見た目が良い
中身が金属なので強度がある
保険が適用するので安価
デメリット
時間が経つと変色することがある
裏側から金属が見える
金属アレルギーなどを引き起こす可能性が高い
見た目
★★★☆☆
耐久性
★★★★☆
メタルコア
ほとんどの保険治療で使用される土台です。
メリット
ほとんどの症例で使用可能
保険が適用するので安価
デメリット
金属アレルギーを引き起こす可能性がある
被せ物によっては、透けて見えてしまう
見た目
★★☆☆☆
耐久性
★★★★☆
ジルコニア
人工ダイヤモンドと呼ばれる、セラミックで作られた素材です。
メリット
見た目が自然で、仕上がりが美しい
割れにくく強度が優れている
金属アレルギーになる恐れがない
経年劣化がほとんど見られない
デメリット
天然の歯より硬いため、周囲の歯やかみ合う歯を痛めることがある
歯を削る量が多くなる
金額
108,000円
見た目
★★★★★
耐久性
★★★★★
オールセラミック(AGC)
オールセラミックは、すべてセラミックで作られた素材です。
メリット
透明感があるため、仕上がりが美しい
色のバランスを整えやすい
強度が優れている
金属アレルギーになる恐れがない
デメリット
天然の歯より硬いため、周囲の歯やかみ合う歯を痛めることがある
歯を削る量が多くなる
金額
インレー:48,600円
クラウン:97,200円
見た目
★★★★★
耐久性
★★★★☆
メタルボンド
金属のベースにセラミックを焼き付けた素材です。
メリット
丈夫なため、割れにくい
ほとんどの部位に使用できる
仕上がりが自然
デメリット
色調はオールセラミックに劣る
まれに金属アレルギーを引き起こす可能性がある
金額
86,400円
見た目
★★★★☆
耐久性
★★★★☆
ハイブリッドセラミック
セラミックに、歯科用のプラスチックであるレジンを混ぜた素材です。
メリット
優れた透明感があり、仕上がりが美しい
咬み合う歯を傷める心配がない
金属アレルギーになる恐れがない
デメリット
時間が経つと変色する
割れることがある
金額
インレー:32,400円
クラウン:54,000円
見た目
★★★★☆
耐久性
★★★★☆
ゴールド
貴金属のベースにセラミックを焼き付けた素材です。
メリット
ベースが金属なので割れにくい
ほとんどの部位に使用できる
ベースにゴールドを用いることで、虫歯になりにくくなる
金属アレルギーになる心配が少ない
デメリット
金属なので見た目が良くない
金額
インレー:43,200円
クラウン:54,000円
見た目
★★★★☆
耐久性
★★★★★
ラミネートベニア
前歯の表面を薄く削って、そこに薄いセラミックを取り付ける治療に使う素材です。
メリット
咬み合わせ改善も可能
ホワイトニングで効果を得られない場合に有効
短期間で治療できる
デメリット
健康な歯を削る必要がある
薄く割れやすい
歯の形は変えられるが、歯の方向はほとんど変えられない
金額
59,400円
見た目
★★★★☆
耐久性
★★★☆☆
ファイバーコア
白い素材でできた歯の芯(土台)となるパーツです。
メリット
折れたり割れたりしにくい
透明感のある自然な仕上がりになる
金属アレルギーになる恐れがない
デメリット
金属に比べると取れる可能性がある
金額
10,800円
見た目
★★★★★
耐久性
★★★★★
※上記の料金形態はメタルブラケットの場合になります。
クリアブラケット、セラミックブラケットの場合は片顎+54,000円となります。
※料金は全て税込みです。
歯の黄ばみはホワイトニングで
解消しましょう
茶渋やタバコのヤニなどで歯が黄ばんだり、年齢を重ねるにつれ歯が変色したりして、気になっている方も多いのではないでしょうか。
「何だか歯が黄色っぽい」
「歯の色が変だ」
たったこれだけのことで、人は不健康に見られてしまうことがあります。裏を返せば、白く美しい歯は、それだけで人から健康的に見られるということ。
当院のホワイトニングで、白く健康的な歯を手に入れませんか?
ご自宅で歯を白くしていくのがホームホワイトニングです。まずは歯科医院でお口に合わせたマウストレーを作り、ご自宅にてそのマウストレーに低濃度の薬剤を注入し、それを歯に取り付けます。毎日一定の時間、徐々に薬剤を浸透させていくことで、後戻りのない白い歯を手に入れることができます。
メリット
低濃度の薬剤を使用するため、低刺激で安全性が高い。
白さの後戻りの心配が少ない。
自宅でホワイトニングできるため、来院の必要がほとんどない。
自分の好きな時間、好きな場所で、マイペースに取り組める。
奥歯までしっかりとホワイトニングできる。
デメリット
理想の白さになるまで、数週間かかる。
色のバランスを整えるのが難しい。
ホワイトニングをする前のクリーニングは、自分で行わなければならない。
自分で施術することにより、多少の手間がかかる。
金額
54,000円(税込)※マウスピース作成と2週間分のホワイトニング剤込み
高濃度の薬剤を歯に塗り、さらにそこに特殊な光を照射して、歯の色素を分解していきます。1回の施術でもある程度の効果を実感することができ、さらに施術回数を重ねていけば、理想的な白い歯を手に入れることができます。白さが後戻りしやすいというウィークポイントもありますが、早く歯を白くしたいという方にはおすすめです。
メリット
数回の施術で、理想の白さになる。
歯科医院で施術するため手間がかからず、安全で確実な施術が受けられる。
歯科医院でのクリーニングを受けた後、施術に移ることができる。
色のバランスを調整できる。
デメリット
高濃度の薬剤を使用するため、歯や歯茎に対して刺激がある。
白さが比較的すぐに後戻りしてしまう。
1回の施術時間が比較的長くなる。
光が届かない奥歯の場合は、ホワイトニング効果を得づらい。
当院では、ホームホワイトニング・オフィスホワイトニングの両方に対応し、一人ひとりの患者さんにホワイトニングプランをご提案しています。患者さんにご納得いただいたうえで、施術をスタートできるよう、メリットだけではなくデメリットもきちんとお伝えしています。
金額
上下54,000円(税込)
施術前
施術中
・当院では、虫歯や歯周病などを予防するための定期検診を推奨しています。
・定期検診で歯のクリーニングを受ければ白さをキープしやすくなるだけでなく、虫歯や歯周病の予防にもつながります。ぜひ定期検診をご利用ください。